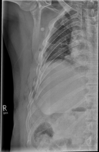
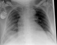
Rib Fractures
The rib fracture is a common injury to the chest. It occurs frequently in (car) accidents, falls during cycling and contact sports. Due to their anatomical position, especially the 4th - 9th ribs are affected.
If three or more ribs are broken on the same side, this is called a flail chest. A rib fractured in more than one place is called a piece break.
In the case of a rib fracture, patients often experience breath-related pain, which increases especially with deep inhalation. Likewise, coughing or pressing on the affected area can be painful. Bruising on the outside (hematoma) and swelling may be visible. In rib serial fractures, there may also be the presence of an unstable thorax, which manifests itself as paradoxical breathing. That means, the opposite movement of the thorax during respiration occurs, during which the thorax contracts during inhalation and bulges outward during exhalation.
As a rule, the rib fracture is diagnosed by X-ray. In severe cases or ambiguous X-ray findings, a layer imaging, for example computer tomography (CT), can also be performed.
In the majority of cases, rib fracture therapy is conservative, i.e. without surgery. In detail, the patient receives a painkiller (analgesic), respiratory gymnastics and breathing training as well as expectorant medication. These measures primarily serve to enable pain-free breathing and thus prevent one of the most common complications of a broken rib, pneumonia.
After about six weeks, the fractures have healed and can only be seen on X-rays. As a rule, a subsequent limitation for the patient usually does not arise.
However, since the risk of a renewed fracture of the ribs is increased (refracture), contact sports should be avoided. In older patients, a subsequent osteoporosis diagnosis can be useful.

Pneumothorax / tension pneumothorax
In some cases, the sharp rib fragments cause lung or outer chest wall injuries. As a result, air can enter the gap between the lung and chest wall and cause a so-called pneumothorax, which must be treated by drainage.
In rare cases, a so-called tension pneumothorax may develop, which under certain circumstances can also be life-threatening. Due to an injury-related valve mechanism, air from the lungs flows into the gap between the lungs and the chest wall, but can not escape. As a result, the organs are shifted in the chest and concentrated, so that the circulatory function is impaired. It requires, in these cases, an immediate delimbing in the hospital or by an emergency physician.

Hemothorax
If blood accumulates in the gap between the lungs and the chest wall due to the injury of a blood vessel or the lungs, this is called hematothorax. If there is still air in the gap, it is a hematopneumothorax. Both the hematopoietic and the hematopneumothorax must often be treated with a drainage.
In case of profuse bleeding or extensive organ injuries, a major surgery on the chest may be necessary (thoracotomy).
Thorax Contusion
In a trauma that affects the chest and does not lead to a fracture of the ribs is called a chest bruise. This can also be accompanied by considerable pain, which is especially noticeable during breathing. Also in this case, the patient will be given a painkiller and the request that he/she does not exert themselves. Inpatient admission is only necessary in the rarest cases.
